이번 글은 파킨슨병 초기증상에 대한 포스팅을 준비하였습니다. 우리 생활 속에서 놓치고 있는 부분이 많으니 잘 알아두시기 바래요.
파킨슨병이란
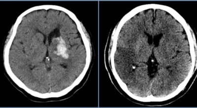
파킨슨병이라고 하는 것은, 퇴행성 뇌 질환으로 알츠하이머, 치매 다음으로 빈번히 나타나는 뇌 연관 질병으로 1817년 영국 병리학자 파킨슨이 보고 해서 그의 이름을 따서 병의 이름이 결정되었다고 합니다.파킨슨병에 걸릴 경우 대부분이 40세 이후로 첫 증상이 나타나고 50세에 가장 많이 발생한는 것으로 알려져 있으며 30세 이전에는 아주 드물지만 유전적으로 나타나는 경우도 있다고 해요.
또한 파킨슨병은 진행성 질환으로 증상이 쭉되는 특징을 갖고 있으므로 조기 발견과 치료가 아주 주요한 질환입니다. 파킨슨병은 아직 완치가 가능한 질환은 아니긴 하지만 조기 발견과 치료를 통해 증상 악화를 방지하고 증상이 완화되는 사례가 많아요.






파킨슨병 이유가 되는 것
파킨슨병은 도파민 분비 신경 세포의 소실로 발생하는 질환으로 알려져 있는데요 도파민이란 뇌의 신경세포에서 만들어지는 물질로 세포와 세포 간의 신호를 전달하는데 이용되는 신경 전달 물질 중 1개로 이 도파민이 감소함에 따라 파킨슨병이 걸린다고 하는데 이 도파민 세포가 떨어지는 이유는 아직 정확히 알려지지 않았다고 합니다. 일부 파킨슨 환자는 파킨슨병의 가족력이 있는 경우가 있으며 이런 가족들 중 일부에서는 유전자 이상이 발견되기도 해요.
그리고 일부유전적인 요인 이나 환경적인 요인으로 발병된는 것으로 알려져 있습니다. 젊은 사람에게 발생하는 경우 유전적인 요인으로 볼수 있으며 살충제 또는 제초제 개인 우물을 마시는등 독성물질 사용이 많은 농업종 사람들에게서 더 높은 파킨슨 병이 발병된는 것으로 알려져 있으나 이것역시 정확한 까닭은 알수 없다고 합니다.






파킨슨병 초기 증상
파킨슨병 초기증상 - 서동증
서동증이란 움직이는 모든 것이 느려지는 것을 말합니다. 이는 몸의 행동뿐만 아니라 말을 할 때에도 느려지는 것을 의미해요. 그리고 얼굴 표정도 사라지므로 이러한 증상이 있으면 파킨슨병을 의심해볼 수 있겠습니다.
파킨슨병 초기 증상 - 떨림 증상
떨림은 파킨슨병의 흔한 증상입니다. 손가락, 손, 발에 경련이나 떨림과 함께 경미할 수 있답니다.떨림을 경험하는 사람들은 파킨슨병의 초기 스탭에서 떨림을 알아차리는 유일한 사람일 가능성이 더 큽니다. 대조적으로, 손이 더 안정적인 사람들은 운동 장애가 더 명백해지는 질병의 후기 궤도까지 떨림을 알아차리지 못할 수 있습니다.
그러나 상태가 진행됨에 따라 떨림이 악화되어 다른 사람들에게 눈에 띄게 돼요. 인체를 쉬어주고 있는 시간에는 손이 떨리게 가능하지만 손으로 물건을 잡는 행위 등을 할 때에는 떨림 증상이 나타나지 않는다면 파킨슨병 초기증상이라고 볼 수 있답니다.






파킨슨병 초기증상 - 손글씨의 변화
글씨가 점점 작아지거나 알아보기 힘들어지는 것이죠. 초기증상에서 발현이 되는 전형적인 증상입니다. 시간이 지날수록 글씨가 점차 작아지게 되고 나중에는 알아보기 힘들 정도로 글씨가 엉망이 되는 경우가 많은데요 글씨 쓰기가 힘들게 느껴지거나 다른 사람이 봤을 때 알아볼 수 없는 경우 신경과의 진료를 권유받기도 합니다. 때문에 해당 증상이 발현되는 경우 파킨슨병인지를 확실하게 하기 위해 병원에 내원해서 전문의와 상담을 추천드려요.
파킨슨병 초기증상 - 불안증과 우울증
항상 불안하게 되고 초조한 현상을 보이며 예민하게 반응하고 짜증을 쉽게 내거나 흥분하는 경향 역시 파킨슨병일 수 있답니다. 사는 것이 재미없게 느껴지게 되고 우울해 하던가 슬퍼하는 일이 많아질 수 있는데요 원래는 그런 특장점이 아니었는데 쉽게 좌절하던가 다른 사람과 모든일에 대해서 관심이 없어지는 경향을 보인다고 해요.






파킨슨병 초기증상 - 표정 변화
파킨슨병은 멈춤과 억양등의 말하기 패턴, 눈 움직임을 포함한 자연스러운 표정에 영향을 준다고 합니다. 걷기와 균형에도 영향을 준다고 합니다. 그러다 근육이 점점 더 굳어지게 되면 인체가 앞으로 기울게 되면서 걸을 때 손을 흔들지 않는 모습을 보이게 돼요.
이에 따라 얼굴 근육도 경직되며 평상시와 다른 표정으로 바뀌게 되는데요 잘 웃던 분이 얼굴 표정이 없어지게 되면서 점점 표정이 굳어지게 된다면 초기증상을 의심해볼 수 있답니다. 뿐만 아니라 눈 깜빡임 횟수가 줄어들수도 있어요.
파킨슨병 초기증상 - 자세 불안
파킨슨병은 하루아침에 발생되는 것이 아니에요. 파킨슨병의 초기 증상은 균형의 부족과 떨림으로, 처음에는 약간 변하다가 빠르게 악화될 수 있답니다. 허리 부상을 입은 사람들은 치유 기간이 지나면 결과적으로 회복되어 다시 곧게 펴질 수 있답니다.
그러나 파킨슨병이 있는 사람들은 회복하는 데 어려움을 겪을 수 있고 손상된 상태로 남아 있을 수 있으며, 이는 궁극적으로 많은 이동성을 상실하게 합니다. 파킨슨병 환자의 경우 주로 노년층이 해당되는데 보행장애, 자세 불안정 등에 의하여 넘어져 사망하게 경우가 파킨슨병이 있지 않으신 분들 대비 약 2배 가량 높다고 합니다.






식욕이 저하되거나 먹는 일에 관심을 잃어버리게 돼요. 그리고 수면장애를 호소하는 경우도 있다고 해요. 파킨슨병으로 진행이 되기 이전에 많은 분께서는 우울증이나 불안신경증등의 정신과적 질환에 걸리기도 한다고 합니다.
그러다 근육이 점점 더 굳어지게 되면 인체가 앞으로 기울게 되면서 걸을 때 손을 흔들지 않는 모습을 보이게 돼요. 이에 따라 얼굴 근육도 경직되며 평상시와 다른 표정으로 바뀌게 되는데요 잘 웃던 분이 얼굴 표정이 없어지게 되면서 점점 표정이 굳어지게 된다면 파킨슨병을 의심해볼 수 있습니다.
파킨슨병 초기증상 - 균형 감각 이상
뇌의 기능 중에는 신체의 균형을 보살피는 것도 있는데요 균형을 잡는 것이 어려워지게 되면 자주 넘어지게 되고 균형을 유지하기 위하여 많은 신경을 써야하게 됩니다. 이와 같은 증상을 지니고 있으면 파킨슨병을 의심해 볼 수 있습니다.






파킨슨병 초기증상 - 목소리 변화
파킨슨병은 여러가지 방식으로 나타나지만 가장 눈에 띄는 것 중 1개는 사람들이 말을 포함해서 움직이는 방식입니다. 환자가 자신에게 자연스럽지 않은 동작을 암기할 수 있으므로 부자연스러운 언어 패턴을 개발할 수도 있답니다. 진행성 파킨슨병이 있는 사람은 언어가 흐릿할 수 있답니다. 파킨슨병 환자는 낮은 목소리 톤과 쉰 목소리와 같은 특징적인 증상을 겪는 경우가 많습니다.
파킨슨병의 치료 방법
파킨슨병 치료에는 수술치료, 약물치료, 초음파 치료 등이 있는데 파킨슨병은 완치가 어려워 조금이라도 개선을 하는 방향으로 가야 합니다. 현재 가장 일반적인 치료는 약물치료로 레보도파라는 도파민을 보충하는 약물로 치료를 하는 경우도 있어요.
약물치료의 경우 며칠 동안 섭취하는 것이 아닌 장기적으로 계획하고 복용하여하며, 처음부터 많이 복용하다 보면 약으로 인한 부작용이 나타날 수 있어 주의하여야 합니다. 약물치료 시작 후 3~5년 뒤에 이상 운동증, 운동 요동 현상과 같은 부작용이 나타난다면 수술적 치료를 고려해야 합니다.






현재 본인의 증상이 파킨슨병이라고 의심되어 병원에 방문했다고 하지만 그것이 아니라 평상시 축적된 스트레스로 인해 생기는 장애일 수도 있어요. 내원해서 의사의 진찰을 하다 보면 이가 파킨슨병인지 확진할 수 없듯이 난해한 병 중 1개라고 하는데요 이 병은 우리나라 뿐만 아니라 세계에서도 아직 확실한 치료법이 없다고 전해져요. 그러니 자신의 증상을 호전 시켜 줄 약물을 꾸준하게 먹음과 일제히 건전한 음식관리와 운동을 병행하여서 느긋한 마음을 갖고 병을 완화시키는 것이 좋다고 봐요.
파킨슨병에 좋은 음식
파킨슨병에 좋은 견과류에는 뇌에 좋은 영양소가 들어 있어요. 연구에 근거하면 호두는 뇌의 노화 스탭을 멈추고 학습, 기억 또는 운동 실력을 증진할 수 있습니다. 호두에는 뇌 건강에 필수적인 오메가-3 지방산이 많다고 해요.
이 오일은 염증을 막아주고 전반적인 인지 기능을 개선시키는 등 다양한 이점을 제공합니다. 견과류는 항산화제를 섭취해서 인체의 뇌 세포 손상을 미리 막을 수 있으므로 파킨슨병에 좋은 것으로 알려져 있답니다.
오늘은 파킨슨병 초기증상에 관해 알려드렸어요. 항상 건강하세요.
거창 가볼만한곳 베스트10 추천 장소
오늘 여행 포스팅 할 주제는 바로 거창 가볼만한곳에 관해서 알아보도록 합니다. 우리나라의 3대 국립공원으로 둘러 쌓인 거창의 아름다움을 아직 모르신다면 이번 포스팅을 반드시 확인 하시
issuehothot.com
카레 만들기 황금레시피 백종원 추천 비법
이번에는 카레 만들기 황금레시피에 대한 포스팅입니다. 카레는 남녀노소 호불호 없는 음식인데요 재료 준비도 간단하고 만드는 법도 간단합니다. 다양한 레시피 중에 골라서 만들어 보세요.
issuehothot.com